Сайт Ставрополя
 
  
Сообщения
Загрузка
Новости Ставрополя и Ставропольского края
  • СВО
  • Все
  • Происшествия
  • Общество
  • Политика
  • Экономика
  • В Пятигорске мужчине удалили опухоль мозга размером с лимон

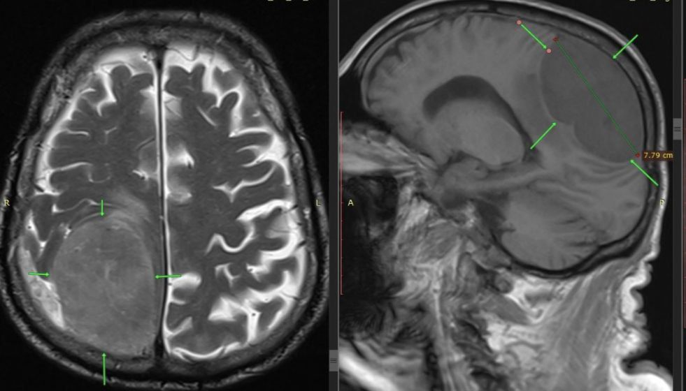
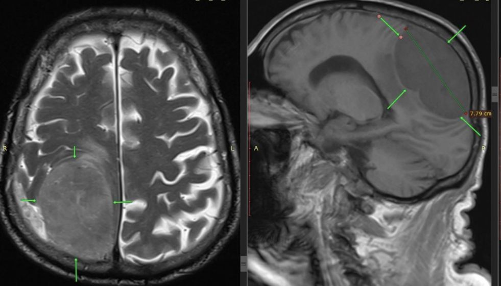
    В Пятигорске специалисты городской клинической больницы удалили из головы 85-летнего мужчины опухоль размером с лимон. Об этом сообщается в телеграм-канале медучреждения.

    Когда пенсионера доставили в больницу, у него уже отказала левая половина тела. Врачи заподозрили инсульт. Обследование показало опухоль размером 87 см в правой части мозга.

    Потребовалась ювелирная работа команды врачей. Дело в том, что удаление такого крупного новообразования вызывает резкие скачки внутричерепного давления, это влияет на работу сердца.

    Операция прошла успешно: медики выполнили костно-пластическую трепанацию черепа и удалили опухоль. Пациент быстро пошел на поправку, движения в левой половине тела восстановились.

    По словам заведующего отделением нейрохирургии ГКБ Пятигорска Гранда Кундупяна, ежегодно здесь выполняют более 400 операций, в том числе высокотехнологичных по квоте.

    В Пятигорске мужчине удалили опухоль мозга размером с лимон
    Фото: ГКБ Пятигорска
    13 января 2026, вторник, 08:53Общество
    Главное сейчасза неделю
    Лента новостей вчера
    19:55Заболеваемость ОРВИ и гриппом на Ставрополье превысила прошлогодние показатели на 53%
    Заболеваемость ОРВИ и гриппом на Ставрополье превысила прошлогодние показатели на 53%
    19:20В Кисловодске создадут более 2100 платных парковочных мест
    18:09Более 10 тысяч нарушений ПДД зафиксировали на Ставрополье в новогодние праздники
    17:43Бастрыкин поручил возбудить уголовное дело после затопления квартир в многоэтажке
    Ставрополя 
    17:16В Кочубеевском округе в программу капремонта попали 12 многоквартирных домов
    16:18Рекордные 115 тысяч человек отдохнули в Кисловодске на новогодних праздниках
    15:57Пресс-конференцию и прямую линию проведёт губернатор Ставрополья 13 января
    15:42Мэрия Изобильного выплатит 50 тыс. рублей ребёнку-инвалиду, покусанному бездомной собакой
    15:30На Ставрополье подрядчик подозревается в хищении 6,7 млн рублей при ремонте школы
    15:18Почти 200 наказов с прямых линий губернатора исполнили на Ставрополье за прошлый год
    14:55Пенсионеру из Ставрополя вернут похищенные мошенниками полмиллиона рублей
    14:45Владимиров поручил сократить сроки ликвидации аварий на ставропольских объектах ЖКХ и энергетики
    Владимиров поручил сократить сроки ликвидации аварий на ставропольских объектах ЖКХ и энергетики
    14:09В Пятигорске закрыли на реконструкцию мост на проспекте Калинина
    13:59В Невинномысске талантливые школьники получат премии
    13:37На Ставрополье обновили участок региональной дороги
    13:05Ставропольчанка едва не лишилась машины после аферы с пособиями
    13:03Более 2 тыс. консультаций провел городской центр предпринимательства Ставрополя в 2025 году
    12:40Ставропольские ученые создали асфальтобетон с добавлением бутылочного пластика
    12:26Больше миллиарда потратят на капремонт медучреждений Ставрополья
    12:25Более 27 млрд рублей направят на реализацию нацпроектов на Ставрополье
    11:55На Ставрополье экс-сотрудник исправительной колонии подозревается во взяточничестве
    11:51Две тройни родились на Ставрополье в 2025 году
    11:37Более 2-х тысяч домов газифицируют в Ставропольском крае
    11:30На Ставрополье с начала года более полусотни человек пострадали в ДТП
    10:56Один погиб и двое пострадали из-за съезда авто с дороги на Ставрополье
    10:51Гранд-финал «Кардо» пройдет в Ставрополе в августе
    Гранд-финал «Кардо» пройдет в Ставрополе в августе
    10:41В Ставрополе участнику СВО прошлось обратиться в прокуратуру, чтобы получить положенные 1,5 млн рублей
    18:01Почему нельзя худеть сразу после Нового года
    17:05Все боялись за таксистов, а страдают парикмахеры
    16:28Налоговая разъяснила новые правила НДС для малого бизнеса
    15:015 банковских ловушек, которые съедят ваши деньги
    12:01Как понять, что пора менять окружение в 2026
    10:12Более 50 тыс. человек посетили мероприятия в Кисловодске в новогодние каникулы
    Более 50 тыс. человек посетили мероприятия в Кисловодске в новогодние каникулы
    09:30Лифты заменили в пяти домах Ставрополя
    09:01Ваш смартфон следит: как отключить слежку за 2 минуты
    08:54Объем строительства жилья в Ставрополе вырос на 8%
    06:01Как без стресса вернуться к работе после долгих праздников
    Архив новостей
    Вторник
    Сегодня
    -9°...-5°
    Легкий снег
    Ощущается как –12°
    Ветер «З» 3-8 м/с
    Давление 715 мм
    Влажность 91%
    Следите за обновлениями
    Telegram
    VK
    MAX
    OK
    Дзен
    RSS
    Приложение
    iOS
    Android